A Perfect Smile Is An Asset In Life | ||
Barbara Wu, DDS |
125 N Jackson Ave, Ste 203 San Jose, CA 95116 Please call to schedule an appointment today: (408) 259-3383 |
Call us Email us Text us |
Space Closure This person had a space in between his two front teeth. He wanted a more professional look. We added veneers to fill in the space. The treatment gave him a more refined look and more confidence. |
![]() |
Recontouring, Enamel Defects, Mild Discoloration Her two front teeth were slightly turned inward. Her left lateral incisor was too rounded. We put veneers from the canine to the canine and filled in her enamel defects with composite bonding. We did teeth whitening on all her teeth to give her teeth a consistent color and look. |
![]() |
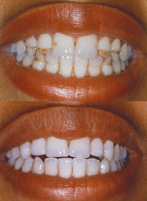
Composite Bonding, Teeth Whitening This person came in with very yellow teeth. She wanted a more youthful and inviting appearance. Her discolored teeth contrasted sharply with her white skin and black hair. She felt that her teeth made her look old, unwholesome, and squalid. The first thing we did was a thorough teeth whitening, and then we use composite bonding to level out her two front teeth. The appropriate shade and color was choosen to match her teeth. This technique can be used for other application such as broken off front teeth. |
![]() |
Crowding Although this person was attractive, she felt self conscious about the crowding of her teeth, and she would always turn her head and not smile wide when she takes a picture. We used Invisalign to straighten out her teeth, and now she is confident, as evidenced by her big smile. |
![]() |
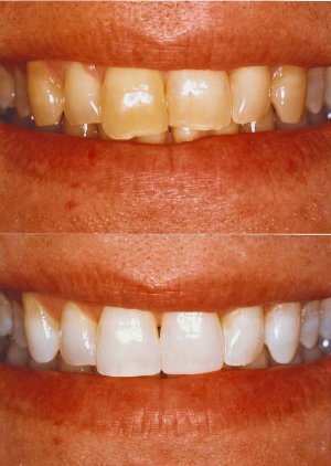
Enamel Defects This person has some defects in her enamel that discolored her teeth. She had already undergone bleaching prior to treatement, yet the discoloration remained. We removed the defective enamel, and we selected a composite that matched the shade and the color of her teeth and filled the defects with composite. |
![]() |