A Perfect Smile Is An Asset In Life | ||
Barbara Wu, DDS |
125 N Jackson Ave, Ste 203 San Jose, CA 95116 Please call to schedule an appointment today: (408) 259-3383 |
Call us Email us Text us |
Dental Implants A dental implant is a screw securely placed into the jawbone to hold a replacement tooth, bridge, or denture in place. Implant provides the most successful and predictable substitute for natural tooth because it integrates with the jawbone, providing a firm chewing surface. Dental implant looks and feels so natural that patients will often forget that they ever had a missing tooth. With a conventional bridge, the adjoining natural tooth structures are sacrificed for use as anchors for the bridge. However, with implants, there is no alteration of the adjacent teeth, making implants an ideal option for tooth replacement. When implants are used to support a denture or bridge, the bridge or denture spans across two or more implants, so there is no need for adhesives and no need to alter adjacent tooth structures. You can eat the foods that you normally would eat, and you don't have to worry about the denture or bridge slipping or falling out. The implants look and feel like natural teeth, so there is no discomfort while talking or eating. For more information, please visit the website of the manufacturer, Nobel Biocare. Dr. Barbara Wu have been trained in Implant Dentistry from Nobel Biocare, and she can provide consultation to determine whether implants are right for you. |
![]() 1.All ceramic crown 2.Gum 3.Dental implant bonds to bone 4.Location of where the tooth root used to be 5.Jawbone |
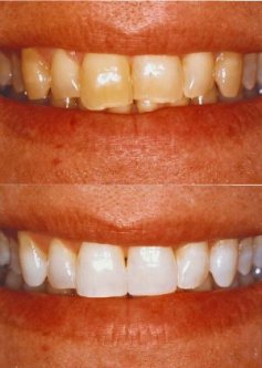
In Office Teeth Whitening Our office provides in office teeth whithening in one sitting. It is convenient, and you will realize immediate results before your dental visit is over. If you prefer to do the whitening in the comfort of your home, we can provide customized bleaching tray and bleaching gel for you to take home. For more information about teeth whitening, please visit the Consumer Guide To Dentistry on Teeth Whitening. |
![]() |
Invisalign Dr. Barbara Wu treats mild and moderate crowding, spacing, and cross bite issues with Invisalign. Invisalign is a clear orthodontic appliance. There is no more worrying about unsightly metal braces. The entire treatment plan is depicted on 3-D computer imaging software that will generate a series of custom-made aligners. You will wear each aligner for about two weeks and then move onto the next aligner until the final desired teeth position is achieved. With the use of computer technology, the positioning of the teeth is accurately predicted, so there is no more guesswork as to how the teeth will turn out. For more information, please visit the Invisalign website. |
![]() |
Mouth Guards Our office can customize mouth guards for sports activity. Mouth guards serve an important function of preventing your teeth from being damaged by blows to the head and jaw. We advise our patients to use mouth guards for all contact sport. For more information about mouth guards, please visit the American Dental Association website. |
![]() |
Veneers For the patients who want the gorgeous Hollywood smile, we offer veneers. Porcelain veneers can be used to solve a multitude of issues, including stained teeth, chipped teeth, spacing between teeth, crooked teeth, and fanged teeth. Since the veneers are supported by the underlying teeth, the veneers are durable once they are bonded to the natural teeth. Veneers look like natural teeth, and they are stain resistant. The veneers will stay permanently white, just like the day when the patient first received it. Once done, the procedure is irreversible, since the teeth was altered in order to attach the veneers. If you have thought about veneers, but have not made the decision yet, then we encourage you to come to our office for a consultation. For more information about veneers, please consult the American Academy of Cosmetic Dentistry. |
![]() |
Restorative and Preventative Dentistry Our office places crowns, bridges, and full and partial dentures. A bridge is a dental appliance that is permanently attached to adjoining teeth and that serves as a replacement for one of more missing tooth. Dr. Barbara Wu utilizes bridges, dentures, and implants to do full mouth reconstruction and to restore form and function to the bite. Dr Barbara Wu focus is on the prevention of tooth decay. Prevention is the best medicine. It is easier to prevent problems from occurring than to treat them after they have occurred. Proper hygiene and routine dental checkups and cleanings are the key to maintaining function, health, and beauty of your teeth. |
![]() |